顎関節症の治療
顎関節症の治療
当院では歯科用CTにて顎関節の位置を特定し、異常があればその位置をマウスピースで移動させ、歯の並びを正します。
顎関節症に対するマウスピースには次のような効果があります。
顎関節症に対するマウスピースには次のような効果があります。
- 歯ぎしり・食いしばり自体を減少させる
- 顎関節にかかる力を軽減する
- 強い力から歯を守る



| インビザラインfull | 935,000円(税込) |
|---|---|
| 分割お支払いの場合 | 120回分割 9,422円/月 (最終回支払いのみ9,355円) |
| インビザラインライト | 462,000円(税込) |
|---|---|
| 診断料 | 33,000円(税込) |
















| 治療期間 | 6ヶ月 |
|---|---|
| 施術の内容 | インビザラインlight |
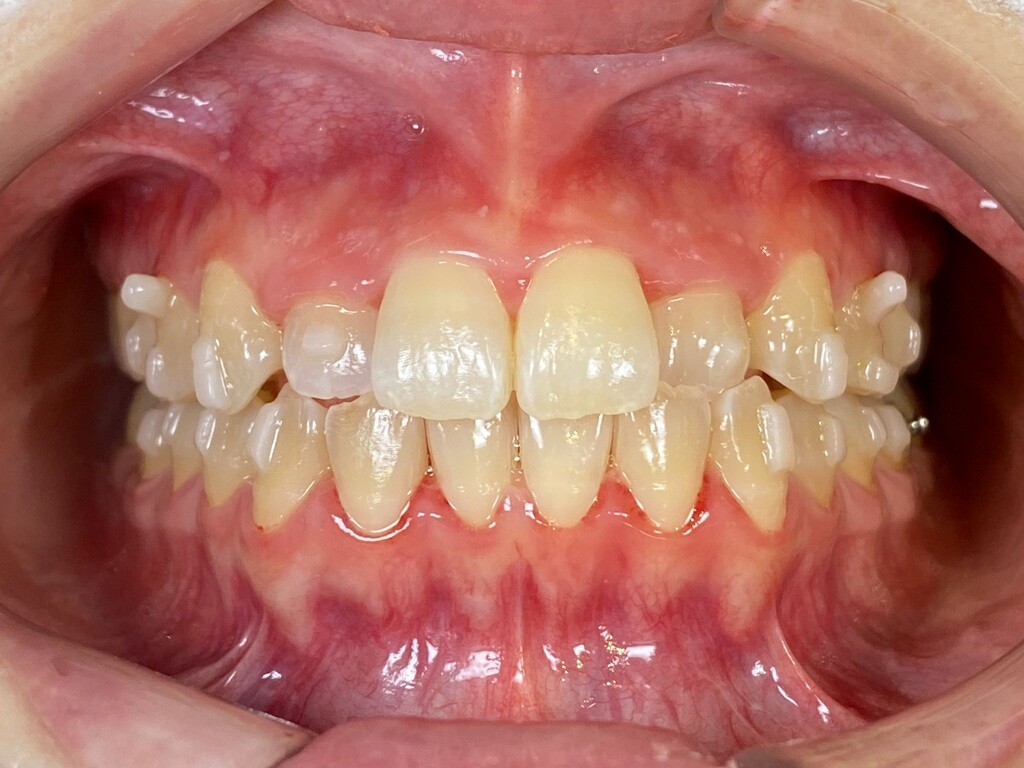
| 施術について | 前歯の並びを綺麗にしたいという女性です。 上下共に歯並びがガタガタになっており、インビザラインlightにて矯正治療を行いました。 |
| 施術の副作用(リスク) |
|
| 費用 | 462,000円(税込) |
| 診断料 | 33,000円(税込) |
| プチ矯正の種類 | インビザラインlight/SMA(シェイプメモリーアライナー) |
.png)

.png)
| 治療期間 | 約8ヶ月10日 |
|---|---|
| 施術の内容 | 歯列矯正 |
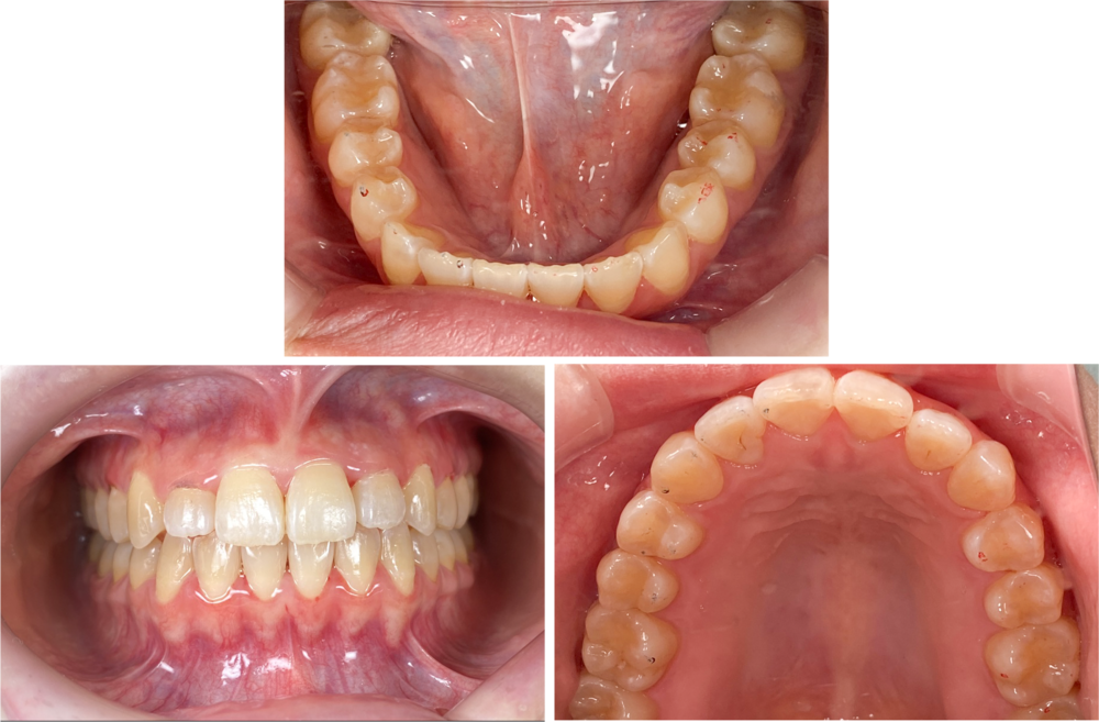
| 施術について | 主訴が「歯がガタガタなのと出っ歯なのを治したい。非抜歯希望。」とのこと。 診断の結果、非抜歯で十分可能だった為、患者さんの要望通り非抜歯矯正とした。 |
| 施術の副作用(リスク) |
|
| 使用する装置 |
|
| 費用 | 935,000円(税込) |
| 診断料 | 33,000円(税込) |
| プチ矯正の種類 | プチではなく通常の矯正になりますので、インビザラインfullとなります |